如何分辨髁突肥大
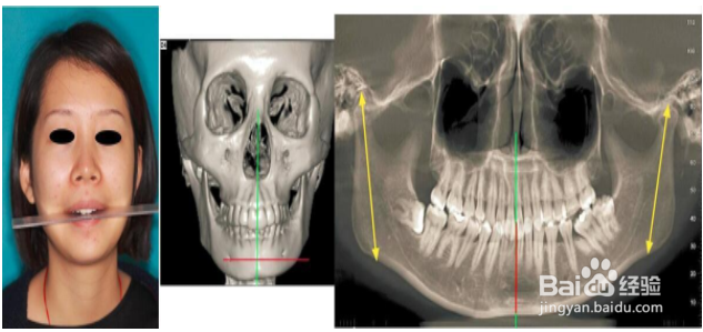
1、你自己对着镜子照下,看下自己牙齿咬合尺子 是否面部2测水平型,表现为颏部偏斜,无明显垂直向不对称,对侧前牙区反合或对侧磨牙舌倾。

2、做髁突的核素扫描,看是否存在髁突骨瘤,如果有骨瘤,需要切除髁突,如果只是单纯髁突增生只需常规正颌手术

3、自己检测下髁关节是否疼痛,甚至关节强直、张口受限。

4、如果长时间单侧咀嚼,现在一侧弹响 ,感觉张嘴时弹响的那一侧多出个圆的骨头鼓出来,另一侧没有。脸有偏斜,摸着两边骨头不一样长。

声明:本网站引用、摘录或转载内容仅供网站访问者交流或参考,不代表本站立场,如存在版权或非法内容,请联系站长删除,联系邮箱:site.kefu@qq.com。
阅读量:124
阅读量:35
阅读量:176
阅读量:176
阅读量:188