有效的祛痘方法
1、首先需要区别三种皮肤病:毛囊炎、马拉色菌毛囊炎、痤疮。

2、先看看毛囊炎,毛囊炎会出现脓疱,脓液很容易被抓破流出,毛囊炎一般会在头上长,如果你手抓破了脓疱,然后又抓了脸,那么脸也就很容易出现新的毛囊炎。一个毛囊炎一周左右就完全消失不留疤痕,但是如果你一直抓出现更多的毛囊发炎,就很难完全好了。这个病主要跟你的抵抗力差有关系。

3、马拉色菌毛囊炎。这个主要是在前胸后背发生,脖子上也会有。这个的样子就是如图所示的很多的红点点,有一部分红点点会出现脓疱。这个主要跟出汗太多,环境潮湿有关,以及代谢不好的人。这里的代谢不好指的是油脂代谢过多。营养不良的时候身体就会消耗脂肪作为能量,这个时候脂肪不会百分百转化为能量,而是变成皮脂分泌到毛孔里面,这就让这种真菌大量繁殖。


4、真的痤疮。真的痤疮看起来特别严重。主要发生在脸上面。会有很多红色的连成片重重叠叠丘疹啊,脓疱啊,结节啊,样子多种多样。这跟雄激素有关。雄激素过多会让皮脂分泌特别多的皮脂,这让在毛囊里面一直寄生的微生物大量繁殖。平时皮质分泌比较少,这些微生物繁殖得比较慢,不会造成毛孔堵塞这种很严重的事。

1、去医院!去医院!去医院!并且要去三甲医院(全市最好的医院,这个自己百度你的市哪些医院是三甲医院,并且查查里面皮肤科医生的职称,至少需要副主任医师及以上)的皮肤科。这很重要,不要相信外面的各种祛痘化妆品、美容院的广告,这不是那点芦荟胶、啥啥啥提取物以及一些非处方药能解决的事。并且我所说的三种病很容易混淆,需要进行检查确诊。

2、毛囊炎,需要将脓液革兰氏染色图片用显微镜观察是不是有大量金黄色葡萄球菌。毛囊炎可以口服抗生素,涂抹杀细菌的软膏来治疗,要注意千万不要抓破。

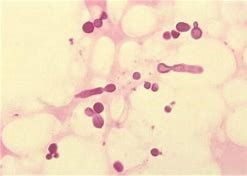
3、马拉色菌毛囊炎也是涂片用显微镜观察是不是有孢子,看到图中右上角那个一个大圆然后还贴着个小圆了吗?那个就是孢子。这个用的是抗真菌的软膏。

4、痤疮:这个很容易就可以判断,属于混合真菌、细菌的感染。看起来很严重的就是痤疮了。能发展到这么严重肯定还是做过很多努力了,但是都没有效果,所以才这么严重。这个治疗主要是促进皮脂排泄,杀真菌、细菌,止痒,并且抑制雄激素。

5、最后在做一个提醒,去三甲大医院看看医生吧,很多皮肤病的症状看起来都差不多,自己治疗或者去小医院小诊所很容易用错药。
