黄褐斑的形成原因是什么,你知道的可能都是错的
你可能做过激光、用过祛斑霜、喝过中药,但你依然没能祛掉黄褐斑。原因只有一个:你之前使用的所有祛斑方法都是错误的。
之所以这样这些祛斑方法对于黄褐斑都是无效的,是因为他们把黄褐斑的形成原因搞错了。
目前国内对于黄褐斑的研究和认识,大多停留在内分泌失调、日晒、妊娠、情绪因素等层面。但在黄褐斑临床诊治的过程中,我们却发现诸多疑问与之不相符合,而且越来越多的研究表明皮肤受损在黄褐斑的发病过程中发挥着重要的作用。
治疗黄褐斑首先要找到黄褐斑形成的本质原因,然后再进行针对治疗,才能从根本上祛除黄褐斑。
黄褐斑的形成原因是什么
日晒和黄褐斑
一些黄褐斑的患者会有这样的体会,每到夏天脸上的黄褐斑就会加重,特别是晒了太阳后会更加严重,到了冬天黄褐斑的颜色则会变浅。
但以此认定日晒是导致黄褐斑的病因并不严谨。
因为如果日晒是导致黄褐斑的病因,那应该是整个面部皮肤全部出现黄褐斑。但临床上却不是这样,色斑大部分位于脸双颊、颧骨处,其余皮肤正常,特别是鼻子极少见黄褐斑。
而且临床研究发现日晒偏多的人群的黄褐斑发生率较日晒偏少的人群没有明显差别,而在黄褐斑患者群体中,日晒与黄褐斑的严重程度呈正向相关性。这证明了日晒不会导致黄褐斑发生,但日晒可以加重黄褐斑的临床症状。
实际上,不仅是黄褐斑,日晒对所有的色斑都有加重的作用。对于人类的皮肤来说,紫外线无疑是最大的促老化因素,最好不要日晒是正确的,但是日晒和黄褐斑的本质是没有任何关系的。
内分泌和黄褐斑
黄褐斑多见于妊娠期、月经不调、长期口服避孕药的妇女,因此国内研究普遍认为内分泌失调是导致黄褐斑的主要原因。
而且临床上也确实发现妇女妊娠期、月经不调、口服避孕药会造成体内雌性激素水平升高,研究也证实雌性激素可刺激黑色素细胞分泌黑色素颗粒。但这并不足以证明内分泌失调是导致黄褐斑的本质病因,具体理由如下:
一是在妇科疾病中摘除了子宫和双侧卵巢而又没有补充雌性激素的女性中,仍然有黄褐斑的患者。另一点是,虽然少见,但也有患有严重黄褐斑的男性患者。
而且,如果真是内分泌失调导致黄褐斑的话,那应该是全身皮肤颜色整体加深,但现实中为什么只有色斑区的皮肤颜色加深呢,这一点无法解释。
所以内分泌失调和日晒一样,并不是黄褐斑的本质病因,只是一个非特异性的色斑加重因素,会引起所有的色斑加重,体内激素恢复正常的的水平,加重的黄褐斑就会减退。
情绪因素和黄褐斑
很多相关的报道认为情绪因素和黄褐斑有关系,我们在原则上对此持反对态度。也许由于情绪变化导致人体的精神学、内分泌学的环境变化,进而引起黄褐斑。但如果真是这样的话,为什么只有色斑区的皮肤颜色加深呢,这一点还是无法解释。
透过现象看本质,黑色素在面部皮肤的堆积才是导致黄褐斑的最终原因。人体产生黑色素最主要的作用是吸收紫外线,阻挡紫外线对皮肤的伤害。那么,黑色素为什么要在色斑区堆积呢,色斑区皮肤到底出了什么问题?
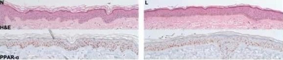
临床观察黄褐斑患者的皮肤往往呈干燥晦暗状态,并伴有不同程度的干燥粗糙、敏感脆弱、泛红发痒等症状。采用德国CK无创性皮肤测试仪,检测84例黄褐斑患者的色斑区皮肤,发现皮肤角质层水分、皮脂含量降低,经皮水流失增高,角质层层数显著减少,皮肤严重受损。

黄褐斑患者的TEWL值明显上升,角质层层数显著减少(9.4层),正常皮肤为18层。

(N:正常皮肤;L:色斑区皮肤):色斑区皮肤相较于正常皮肤PPAR-a免疫反应性明显下降。
色斑区皮肤受损,不能承受正常的日光照射,那么机体就产生负反馈机制,受损伤部位黑色素细胞就会分泌更多的黑色素阻挡紫外线,防止紫外线进一步损伤已受损的机体。这是人体的保护性负反馈机制。
黄褐斑患者色斑区皮肤受损,皮肤屏障作用被破坏。在相同紫外线的照射下,酪氨酸酶的活性及黑色素相关蛋白激酶更易增加,黑色素细胞活性增强,黑色素颗粒分泌增多,形成临床上表现为色素沉着为主的皮肤病,这就是黄褐斑产生的本质。
黄褐斑的治疗方法
说完病因,我们再说一说黄褐斑的治疗方法。目前市场上的祛斑方法主要有三类:激光祛斑、祛斑类化妆品、中药内服祛斑。
一、激光祛斑
激光祛斑是利用光辐射作用到皮肤时所产生的热效应、机械效应、光化效应和电磁效应等原理,以烧灼、炭化、气化、凝固等手段作用于有关病变组织,使生物组织酶失活,蛋白质变性,黑素小体温度瞬间极度升高,导致蛋白质、核苷酸、类脂膜的变性、细胞凝固性坏死、局部蒸发,并且与组织相互作用形成光机械冲击波及光化学生物刺激,最终破坏黑色素细胞,达到美白祛斑目的。
如前所述,黄褐斑的本质是“皮肤受损导致的色素沉着性皮肤病”,增多的黑色素并不是疾病的本质,所以即使除去了增多的黑色素,也没有治疗疾病的本身,色斑还是会复发,治疗效果等于零。不但如此,在皮肤已经受损的状态下,使用激光治疗后,会加重皮肤的损伤,产生较重的炎症反应,导致黄褐斑症状的加重。
使用激光祛除黄褐斑就是在已经受伤的皮肤上追求更多伤害的风险行为,如果明知是黄褐斑,依然建议使用激光祛除。要么是医术不精,好心办坏事;要么就是利益熏心,医德缺失。
光子嫩肤、液氮冷冻、超高频治疗、磨削治疗等也跟激光类似,都是治标不治本,并且会损伤皮肤加重黄褐斑的临床症状。
二、祛斑类化妆品
目前市场上销售的祛斑产品在我们看来都是很“神奇”的,"7天淡斑、30天祛斑",可以快速祛除黄褐斑、雀斑、晒斑、老年斑等各种色斑,简直就是“灵丹妙药”。
但是,正常皮肤的表皮更替时间为52-75天,而且随着环境、年龄、皮肤健康状况等内外界因素的影响,更替时间会越来越长,所以短时间快速祛斑是不可能实现的。而且各类色斑的成因、结构和所处的皮层深度各不相同,不可能有一款合格产品对所有的色斑都有效。
一款产品可以快速祛除多种色斑肯定是违背人体皮肤细胞组织客观规律的,那么是什么让它这么“神奇”,把不可能变为可能呢?
答案很简单:化学剥脱、漂白皮肤
化学剥脱
化学剥脱法就是我们在美容界常听到的“换肤疗法”。它主要是用化学药品腐蚀皮肤表面,祛除皮肤的角质层,短期内可使色斑减轻或脱掉,露出新鲜的皮肤组织,使皮肤看起来白里透红、光滑细腻。
当然,为了这昙花一现的美丽,付出的代价也是巨大的。换肤疗法实际上就是通过强行剥脱角质层的手段,来达到美白祛斑目的。这会破坏皮肤的正常结构,加重皮肤的损伤,使皮肤对外界不良因素如紫外线的抵抗能力明显降低。
受损皮肤为了抵御紫外线只能更多地分泌黑色素,就会使黄褐斑更加严重。除此之外还可能出现痤疮、接触性皮炎、毛细血管扩张、皮肤干燥老化等副作用,而且往往是多种副作用同时并发,这种情况在皮肤科门诊屡见不鲜。
化学漂白
在祛斑美容领域,化学漂白法虽然在理论上不被认可,但它迎合了消费者期望快速祛斑的心理需求,在祛斑市场上早已泛滥成灾。这些化妆品里大多加入了一些化学漂白剂,如过氧化氢、白降汞、铅、砷、氢醌等,还有一些是用高浓度强效激素以及氢醌所组成的配方。这些黑色素细胞毒剂用于皮肤上,可导致黑色素细胞死亡,虽然有短期内迅速祛斑美白的效果,但长时间使用会引起更加严重的色素沉着,毒副作用也很大。
汞会导致角质层变薄、接触性皮炎、红斑丘疹、水疱等皮肤问题。同时,汞还会通过在皮肤的累积,引起皮肤慢性中毒症候群;铅会破坏皮肤内的胶原蛋白并会造成色素沉淀,长期使用铅及铅化合物,皮肤就会出现红斑或黑斑、红血丝、脱皮等一系列症状;激素可以破坏基底细胞层、皮脂腺、皮肤免疫系统、毛细血管、细胞代谢功能,造成皮肤萎缩、变薄、毛细血管扩张、色素斑、多毛、以及激素依赖性皮炎。
三、相较于上两种祛斑方法,中药内服有一股浓浓的中国特色味道。本质上对黄褐斑的治疗没有任何作用,既不能淡化祛除黄褐斑,也不会加重色斑,无功也无过。
传统的黄褐斑治疗方法一般着重于直接祛除过度的色素沉着,通过“暴力的手段把黑色素铲除”,我们称之为“破坏性祛斑方法”。这是一种杀敌八百,自损一千的方法,在祛除黑色素的同时会加重皮肤损伤,进而导致黄褐斑的复发和加重。
患有黄褐斑,实际上是皮肤向你发出信号,你的这个部位已经受损,皮肤功能减弱,需要修复。所以在治疗黄褐斑时,任何损伤皮肤的治疗方法都是错误的。
黄褐斑的本质病因是皮肤受损,所以修复受损皮肤是治疗黄褐斑的唯一方法。
黄褐斑的治疗不能仅以祛除色素为目的,根据黄褐斑的发病机制,应以修复受损皮肤为方向,重建皮肤屏障功能,使黑色素细胞活性减弱,黑色素生成减少。色斑中的既有黑色素通过皮肤代谢,噬黑色素细胞和淋巴系统排出体外,从根本上祛除黄褐斑。
根据黄褐斑的发病机制,我们以修复受损皮肤为原则,使用少慢修护霜治疗黄褐斑患者312例,取得了较好的疗效,现将其临床效果报道如下:
临床资料:
312例黄褐斑患者,女性305例,男性7例,年龄21~53岁, 平均32岁。病程最短2个月,最长15年,平均4. 68年。
治疗方法:
清洁皮肤后,取适量少慢修护霜,均匀涂于面部,每日2次,早晚各 1 次。
疗效判断标准:
疗效判定标准依据《黄褐斑的临床诊断和疗效判定标准(2003年修订稿)》
治愈:肉眼视色斑面积消退大于90%,颜色基本消失;显效:肉眼视色斑面积消退大于60%,颜色明显变淡;好转:肉眼视色斑面积消退大于30%,颜色变淡;无效:肉眼视色斑面积消退小于30%,颜色变化不明显。
治疗结果:

治愈303例,占97.1%;显效8例,占2.6%;好转1例,占0.3%;无效0例。治疗时间最短为3个月,最长为12个月。在治疗过程中,未发现明显刺激、过敏及其它反应。
典型病例:
沈某:女,41岁。面部黄褐斑5年,曾在多处诊治,用过多种祛斑产品,未见效果。经治疗3个月后,黄褐斑颜色明显变淡,7个月后黄褐斑基本消退,获得临床治愈。

李某:女,33 岁。面部黄褐斑4年,并逐渐加深扩展。曾服用多种维生素、中药汤剂,均不效。 持续使用少慢修护霜8个月后,黄褐斑基本消退,获得临床治愈。

赵某某:女,40 岁。面部黄褐斑7年,色斑日渐加深,范围扩大。经过治疗4个月后,色斑明显消散 ,8个月后面部色斑基本消退,获得临床治愈。

体会:
少慢修护霜根据传统中医理论及现代药理研究配制而成,可从多方面修复受损皮肤。包括提供表皮生长的营养成分,促进表皮细胞的正常分化,形成保护膜防止水分、脂质的流失,预防感染及模仿皮肤的天然抗氧化作用等。
不仅可以修复受损皮肤,加快黑色素的代谢,改善皮肤干燥、缺脂状态,增强皮肤对外界刺激的抵抗力。 而且还可以从酪氨酸酶活化环节抑制黑色素的形成,抑制色素沉着。对治疗和预防黄褐斑都有很好的作用。
注:
一、黄褐斑患者的皮肤已经受损,除了通过少慢修护霜积极的治疗修复外,日常生活中也应该提高科学护肤意识,减少对皮肤的伤害。
二、少慢修护霜可有效治疗黄褐斑,但对在黄褐斑周围或之间的雀斑、老年斑、获得性真皮色素细胞增多症(ADM)等其他类型色斑无效。这也正验证了我们之前的观点,不可能有一款合格产品可以祛除所有色斑。

注意事项
脸部有黄褐斑,积极应对,心情要开朗