胸膜炎与脓胸有哪些症状?
1、发病前一般都有肺部疾病,特别是肺结咳等病症。

2、急性胸膜炎常有畏寒、发热、乏力、食欲不佳等全身症状。急性脓胸,所有症状更为明显。胸腔如有大量积液,可有胸部不适感和呼吸急促。

3、感性胸膜炎在患侧胸部腋区可触及摩擦音。检查诊视患侧胸壁饱满。急性脓胸有胸壁压痛,慢性脓胸有杵状指和贫血。

4、实验室检查 细菌感染个脓胸患者周围血白细胞和中性粒细胞增高,结核性胸膜炎和癌性胸膜炎时,白细胞计数不增高。

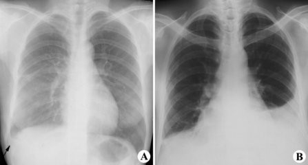
5、X线检查 胸部积液,检查发现患侧肺部呈大片密度均匀一致阴影。

6、B超检查 如积液在左侧,则心脏被遮掩。大量积液时,可见气管和心脏向一侧移位。病区呈大片模糊的阴影。B超能准确诊断和定位胸膜炎病症位置。

声明:本网站引用、摘录或转载内容仅供网站访问者交流或参考,不代表本站立场,如存在版权或非法内容,请联系站长删除,联系邮箱:site.kefu@qq.com。