牙周炎牙龈炎的预防治疗方法和注意事项
1、当你吃东西时,感觉又怕凉、又怕热,吃完有些酸的水果牙就感觉难受、无力,使用一些抗敏感的牙膏也没什么效果,基本上就是牙周炎了。

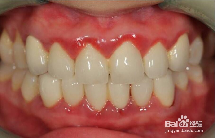
2、另外,看牙龈的颜色,健康的牙龈应该是粉红色,颜色较浅,而发炎的牙龈一般是鲜红色,或者紫红色,颜色很深。如果牙龈萎缩,牙看着变长了,牙缝变大了,也是牙周炎的表现。

1、首先要洗牙。把所有的牙石和牙垢都要洗掉,然后上药。这样有利于牙龈的健康,减少发炎和红肿,减缓牙周炎的发展。
注意要去正规的医院,经过医生的确诊,避免一些不负责的诊所操作不到位,洗得不彻底,或者操作不当伤害牙齿和牙龈。

2、洗完牙后,休养一到两周的时间,再去做一下“刮治”,也就是用专门的器具把牙周袋内的牙石和肉芽等东西刮出来。然后再上药,进一步加强牙周的卫生,去除病菌,有利于牙龈的恢复。
这个深层的洁治费用相对会高一些,另外,操作时会很疼,需要打麻药。

3、如果牙周炎比较严重,经过洗牙和刮治后,没有好转,需要使用一些药物,比如“甲硝唑口颊片”、“西地碘含片”等。前者是将药片直接放置在牙龈与口腔内壁之间,直接作用于患处,比较方便和有效。
注意用药期间不得饮酒和含酒精的饮料,另外可能有些过敏反应,要按说明书使用。

1、最基本的就是保持口腔卫生,防止滋生病菌,另外尽量减少牙菌斑和牙石的产生。最好能做到三餐后及时刷牙,把食物残渣清除,可以牙刷、牙间隙刷、牙线配合使用。

2、可以经常使用漱口水,在不方便刷牙时,以及睡前刷牙后使用,能有效减少口腔病菌的数量。另外有保护牙龈的漱口水,经常使用有助于牙龈的健康。

3、最好每年洗牙一次,平时多做些扣齿的锻炼。多注意牙齿和牙龈的状况,如果有不适,及时去医院诊治。

声明:本网站引用、摘录或转载内容仅供网站访问者交流或参考,不代表本站立场,如存在版权或非法内容,请联系站长删除,联系邮箱:site.kefu@qq.com。