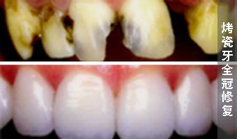
贵金属烤瓷牙优势是什么


2、黄金是生物相容性最好的金属,是最早用于烤瓷牙的金属,与人体组织不起任何反应,不存在牙龈发炎、颈缘发黑、金属异味等问题。

3、黄金的延展性非常好,所以在所有烤瓷牙里黄金

烤瓷牙(特别是金沉积烤瓷牙)是密合性最好的。而密合性是烤瓷牙烤瓷牙品质优劣评判的第一标准
其他金属烤瓷牙夜晚灯光环境下烤瓷牙发青的问题(其他烤瓷牙因为金属内冠为黑色,烤瓷牙瓷层类似釉质有一定透明度,夜晚灯光照射,光线经内冠反折后使烤瓷牙看起来发青)不会出现。
声明:本网站引用、摘录或转载内容仅供网站访问者交流或参考,不代表本站立场,如存在版权或非法内容,请联系站长删除,联系邮箱:site.kefu@qq.com。