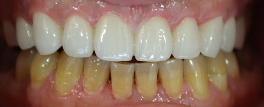
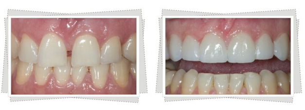
牙齿贴面的优势
1、安全磨除牙体组织少。瓷贴面磨除牙体组织少,有些情况下甚至不要磨除牙体组织,这样可以保存大量的牙体组织,不需要杀神经,基本上控制了术后牙髓炎症、坏死等全冠修复的后遗症,可以保持天然牙齿长期的健康。

2、美观仿真效果好。瓷贴面仿真的美容效果,具有与天然牙体组织相同的光学特质,不含有任何金属成分,表现出最佳的美学效果,绝对不会出现烤瓷牙常见的牙龈黑线现象。瓷贴面制作时有多种不同颜色的瓷块可选择,同时可以采用外染色进行颜色细调。临床黏结时有多种不同深浅颜色的黏结剂和白色遮色剂可以用来辅助调整瓷贴面的颜色,以达到整体协调的美容效果。并且瓷本身的高耐磨性和不着色可以使瓷贴面达到永久的美白效果。

3、健康对牙龈刺激小。瓷贴面具有极好的透光性,牙体预备时可以平齐牙龈即可,这样有利于保护牙龈及制取印模和粘结瓷片。与牙龈相衔接的区域也仅在唇侧,对牙龈的刺激更小。更不会有金属烤瓷牙的金属离子导致的牙龈变色。烤瓷冠的硬度大于牙釉质,可造成对颌牙的磨损。而瓷贴面的硬度梢低于牙釉质,可以有效保护对颌牙。

4、舒适无口腔异物感。传统烤瓷牙修复需要磨除舌侧的天然牙齿,而舌侧的牙体通常都是健康的,并且与舌、对合的牙齿处于最协调的状态。即使是最好的金属烤瓷牙也不可能恢复到以前天然牙齿的状态。瓷贴面修复基本不需要磨切牙齿的舌侧部分,可以保存大部分甚至全部舌侧的形态,有效的保护了对颌牙,同时舌头接触到的仍然是未被破坏的天然牙齿,触觉自然、舒适,避免舌头与传统烤瓷牙接触时的“异物感”。所以说,瓷贴面具有良好的舒适性。

声明:本网站引用、摘录或转载内容仅供网站访问者交流或参考,不代表本站立场,如存在版权或非法内容,请联系站长删除,联系邮箱:site.kefu@qq.com。