关于心肌疾病的临床图片。
1、一:扩张型心肌选岔病的病理图片。

2、二:扩张型心肌病的X线图片。

3、三:扩张型心肌病的实物图。

4、四:肥厚型心肌病的病理图片。

5、五:肥厚型心肌病的实物图。

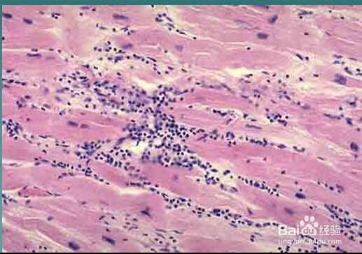
6、六:病毒性番盲低心瞧薪肌炎的病理图片。

声明:本网站引用、摘录或转载内容仅供网站访问者交流或参考,不代表本站立场,如存在版权或非法内容,请联系站长删除,联系邮箱:site.kefu@qq.com。
阅读量:70
阅读量:98
阅读量:150
阅读量:73
阅读量:102